「まる接骨院」今日の患者様シリーズ 今回は「股関節の付け根の痛み」でご来院。 ・...
ここ数日の「まる接骨院」流行病。 空手選手の股関節周囲の痛みでございます。 どん...
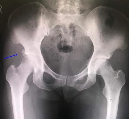
ここ数日、鼡径部周辺の痛みの症状で ご来院される患者さんが急増中 サッカーなどの...
〒202-0021
東京都西東京市東伏見3-2-1
TEL 042-450-5071