まる接骨院

西武新宿線東伏見駅1分
夜9時まで診療!

ウェブ予約

石灰沈着性股関節炎

2019.10.24

「まる接骨院」今日の患者様シリーズ

今回は「股関節の付け根の痛み」でご来院。

・ズボンを履く時、靴下を履く時に足の付け根が痛い
・車の乗降時に股関節が痛い
・椅子から立ち上る時に股関節が痛い
・階段を上り下りの際に股関節が痛い

このような痛みでお悩みの方も、多いのではないでしょうか?!


こちらのの患者様、社交ダンスを長年されており、
今までも年に数回、このような痛みが強くなる時があり
ここ数日、徐々に痛みが強くなってきたとのこと。

いつものようにしっかりと問診を行い、その後、徒手検査。

結果、股関節の臼蓋、周囲筋に異常がある疑いがあり、
今までの痛みの出現の仕方、現状を含め、
一度、整形外科にて股関節のレントゲン検査が必要と判断し、
提携医にレントゲン検査依頼。

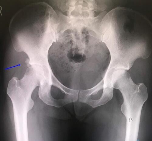
IMG_6641.JPG

レントゲン検査の結果「軽度の股関節臼蓋不全」及び「石灰沈着」を確認。

石灰沈着は骨盤の下前腸骨棘付近に存在し、下前腸骨棘には大腿直筋が付着します。

こちらの患者様、大腿直筋が作用する動作にて、著明に痛みが出現するため、
今回の痛みは石灰沈着が原因で出現していたと判明。

そのレントゲンを元に的確に不調部位を把握し、
少しでも早く痛みを除去できるよう治療していきます。

石灰沈着はリン酸カルシウム結晶によって炎症が生じ、疼痛・運動制限を引き起こします。

全身のどこにでもでき、肩・股関節は好発部位となっております。

原因は不明で40~50歳台の方に多いのが特徴です。


股関節の痛み・不調でお悩みの方は放置せず、早めにご相談下さい。

「まる接骨院」では根本から、しっかりとしたエビデンスを元に、
体の回復のお手伝いをさせて頂きます。

ロゴ
まる接骨院