まる接骨院

西武新宿線東伏見駅1分
夜9時まで診療!

ウェブ予約

足の甲の痛み

2022.03.22

今日の患者様は柔道での日々の稽古、走り込みが続き、歩行時、体重負荷に「足の甲が痛い」と御来院。

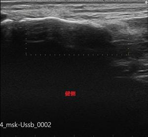
足の甲の一番高い所に圧痛が強く、場所的に中足骨の疲労骨折が疑われます。

中足骨の骨折にはそれぞれのスポーツ、特有の動きなどによって
負担が掛り折れやすい部位があります。

好発部位は第2・3中足骨がを多く、第4中足骨、第5中足骨と続きます。

第1中足骨の疲労骨折はまれです。

足のアーチの構造上、第2・3中足骨はアーチの中央部分を走っており一番負荷のかかる場所。

第5中足骨の骨折は筋・腱の付着部、荷重の関係から、下駄骨折・ジョーンズ骨折・バレエ骨折など難治性の場合の物もあります。

今回はエコー検査を行い、まだ疲労骨折にはいたっていないですが、
このまま無理に動いていると、必ず疲労骨折を発症する為、安静・治療となりました。

中足骨骨膜炎-患側.jpg

中足骨骨膜炎-健側.jpg

手技後にアキュースコープで炎症、腫れを抑え、マイオパルスで患部の細胞活性を高め、
早期復帰、早期回復を目指します。

お悩み、お困りの方は我慢せずに、早めにご来院下さい!

ロゴ
まる接骨院