まる接骨院

西武新宿線東伏見駅1分
夜9時まで診療!

ウェブ予約

上前腸骨棘・下前腸骨棘損傷

2022.01.20

今日の患者様シリーズ

12歳 フィギュアスケーター

「太もも、脚を上げると痛い、、、」

「体重をかけると痛い、、、」

足の付け根の痛みでご来院。

下前腸骨棘付近損傷.jpg


いつもの通りしっかり問診、触診、理学検査後にエコー検査。

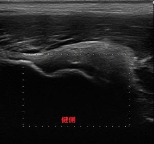
下前腸骨棘健側.jpg下前腸骨棘患側.jpg結果、下前腸骨棘付近、大腿直筋起始部の炎症と判明。

このまま運動を続けると「下前腸骨棘剥離骨折」に発展するため、
しばらく安静&治療を行いながら、経過を診て行きます。


「下前腸骨棘剥離骨折」とは、骨盤前面の腸骨という骨の出っ張りには、
上前腸骨棘と下前腸骨棘と呼ばれる突起があります。

下前腸骨棘.jpg

上前腸骨棘には大腿筋膜張筋・縫工筋、下前腸骨棘には大腿直筋という、
ジャンプ動作、ボールを蹴る動作時に作用する筋肉が付着しており、
急な動作の繰返し、急激な収縮作用による牽引力によって、筋肉の付着部が炎症を起したり、
上前腸骨棘、下前腸骨棘部が剥離骨折を起こすスポーツ障害です。

この障害は成長期の10代に多いのが特徴です。
理由は筋力に対して骨の強度がない為で、またハードな練習が続いて疲労が蓄積し、
筋肉が硬くなっていることも原因となります。

治療は痛みを発症させている、関連筋を柔らかくバランス調整し、
アキュースコープ&マイオパルスという、特殊な治療器で炎症を抑えていきます。

足の付け根の痛み、我慢をして運動を続けたり、放置しておくと悪化し、
痛みが長引きますので、早めのケアをお願い致します。

ロゴ
まる接骨院