まる接骨院

西武新宿線東伏見駅1分
夜9時まで診療!

ウェブ予約

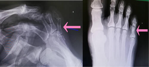
第5指基節骨骨折

2019.10.28

今日の患者さまシリーズ。

自宅で机の脚に、足の小指をぶつけたと御来院。

不意な小指のヒット、痛いですよね~~、、、

皆様も一度は経験があると思います。

足基節骨骨折.jpg


今回もしっかり問診、視診、触診を行い、確認の為にエコー検査。

結果「右足第5基節骨骨折」と判明。

足基節骨骨折3.jpg


応急処置後、骨折の状態、治療同意を得るために、

提携 整形外科さんへレントゲン検査依頼。

足基節骨骨折2.jpg


骨折線の入り方、部位を明確にし、骨癒合促進の為、
マイオパルスにて加療を行っていきます。

IMG_6650.JPG


指の骨折は意外と「突き指かな?!」っと思っていたら、
骨折している場合が多々あります。

とくに足指で多いのは、今回と同じ基節骨といわれる指の付け根の骨。

骨折と同時に脱臼したり、粉々に骨折しない限り、手術になることはないですが、
しっかり骨折線を確認しながら治療を施していかないと、
オーバーラップと言って、隣の指と重なったり、
手を握ったときに、違う方向に向いてしまったりします。

なので、レントゲン、エコー画像を確認しながら、適切な治療、固定が必要です。

IMG_6648.JPG

足・手指の突き指、怪我をしてしまったら、軽視せずしっかり治療しましょう!!

ロゴ
まる接骨院