まる接骨院

西武新宿線東伏見駅1分
夜9時まで診療!

ウェブ予約

気温と筋温

2019.07.17

本当に今年の梅雨はよく降り寒かったですね、、、

少し昨日から、夏らしさが出てきましたが。。。


そんな梅雨寒も影響しているのでしょうか?!

梅雨に入り"肉離れ"で御来院される患者さまが多くなっております。


素因として筋疲労による柔軟性の低下、ウォーミングアップ&ケア不足が多く、

一般アスリートの方はとくに、ウォーミングアップを行わず、

競技準備後、すぐにプレーしてしまうという場合が多いようです。


ウォーミングアップを行うことで心肺系、循環器系、神経伝達能力、

筋肉温度が上がり、ケガの予防につながります。


筋肉内の温度は38℃~39℃くらいが最も大きな力を発揮できる温度で、

収縮力・柔軟性が共に上がります。

大体10分~20分くらいのジョギングで38℃くらいまで上がると言われています。


筋温は体幹部分で36℃~37℃くらいなのですが、体幹から離れ、

末梢に行くほど外気温・湿度の影響を受け、筋温が下がっていきます。


外気温が20℃の場合、腋窩(わきの下)は36℃~37℃、上肢温は32℃、

指先は28℃、大腿温は34℃、下腿温が31℃という統計があります。


ウォーミングアップ不足はケガの元だけではなく、

競技パフォーマンスの低下にも繋がります。


今日の患者さま 40代 女性 バスケットプレイヤー

攻守の切り替え時、蹴り出した時にふくらはぎが"ブチッ"と音がし、

その後、歩くのも走るのも痛くなったと御来院。


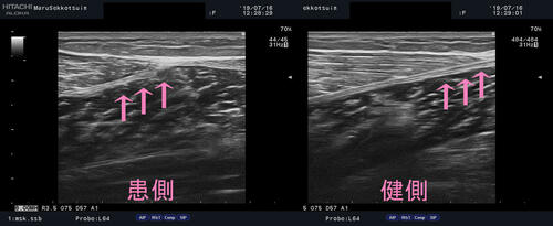
問診後、しっかり視診、触診を行ったところ、腓腹筋内側部 筋腱移行部に圧痛、腫脹を触知。

深さ、損傷範囲を調べる為にエコー検査。

肉ばなれエコー像.jpg


確認したところ「腓腹筋内側部 筋腱移行部の肉ばなれ」でございました。

腓腹筋.jpg


今回は肉ばなれの前兆として、足の張り、腰の痛みがあり、

全身を触診、治療を行っていても、筋バランスの左右差、

関連筋、周囲筋の硬結がみられ、疲労の蓄積によるものが、

肉ばなれの原因と考えられました。


まずは筋膜リリースで筋バランスの調整を行い、

その後、マイオパルス & アキュースコープで組織の修復及び、

痛み・腫れを抑えていきます。

IMG_6499.JPG
あと少し梅雨は続きます。

いつもより念入りにウォーミングアップ & ケアを行い、

"肉ばなれ"などのケガを防ぎましょう!!

ロゴ
まる接骨院