まる接骨院

西武新宿線東伏見駅1分
夜9時まで診療!

ウェブ予約

類は友を呼ぶ???

2018.07.09

今週も猛暑なお天気で始まりました。


先週のお仕事、流行病なのでしょうか??、
「石灰沈着による関節の痛み」「骨折」の患者さまが、
大変多かった一週間。


「類は友を呼ぶ」といった感じでしょうか??
一度、重なって御来院されると、連鎖的に同じ病態の患者さまが続きます、、、

不思議なものでございます。


犬の散歩中、リードを不意に引っ張られた後から、肩が上がらなくなった・・・

石灰沈着1.jpg

テニスをしていて打ち損ねた後から、肘が痛くなった

石灰沈着2.jpg


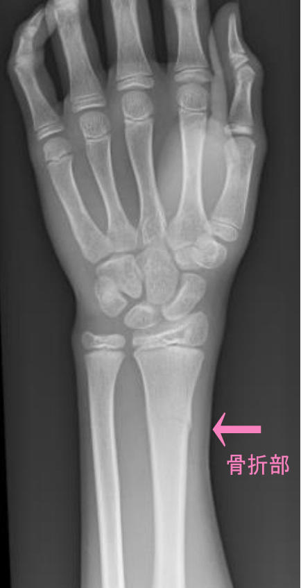
走っていて転倒し、手を突いたら骨折しちゃった・・・

とうこつ骨折.jpg


家の壁に、誤って足を突いちゃったら骨折しちゃった・・・

基節骨骨折.jpg


その他、もろもろ、酷暑の中、お気の毒です。


"まる接骨院"では患者さまとしっかりコミュニケーションを取り、
早期復帰・回復を目指して、患者さまにとって最善の策を、御提供、御提案して参ります。


ケガをして、痛みでお困りの方はお気軽に御相談下さい!!

ロゴ
まる接骨院