まる接骨院

西武新宿線東伏見駅1分
夜9時まで診療!

ウェブ予約

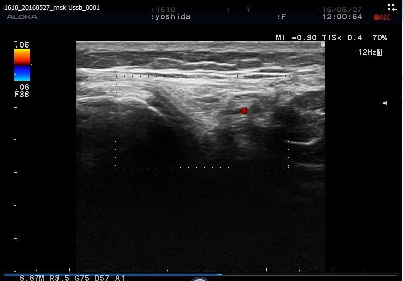
膝の内側側副靭帯損傷

2016.05.27

気がつけば今週も明日で終わり・・・
バタバタと忙しく、楽しくお仕事させて頂いて、
感謝感謝でございます。


今日はここ数日の過ごし易いお天気とは一変、肌ざむ~ございます。


こういう気温の低い時は、くれぐれもお怪我にはご注意下さい。


「まる接骨院」ここ数日は「膝の靭帯」を痛める患者さまが多ございます。


高所から椅子をふみ外し「膝の内側側副靭帯」を痛められた方。
Medial collateral ligament1.JPG
階段を下っている時に足を踏み外し「膝の靭帯」を痛められた方。
Medial collateral ligament2.JPG
アイスホッケー ゴールキーパーで他人に膝の上に乗られ「膝の半月板」痛められた方。

lateral collateral ligament2.jpglateral collateral ligament.JPG
などなど「膝の靭帯」「膝半月板」損傷が流行病となっております。


皆様もくれぐれも、お怪我にはお気を付け下さい!


もし怪我しちゃった時は早急にケアしましょう。


それが「早期復帰」「早期回復」への第一歩です!

ロゴ
まる接骨院