まる接骨院

西武新宿線東伏見駅1分
夜9時まで診療!

ウェブ予約

腓腹筋の肉離れ

2016.04.07

先日、導入した「超音波画像観察装置」いい仕事してくれます。


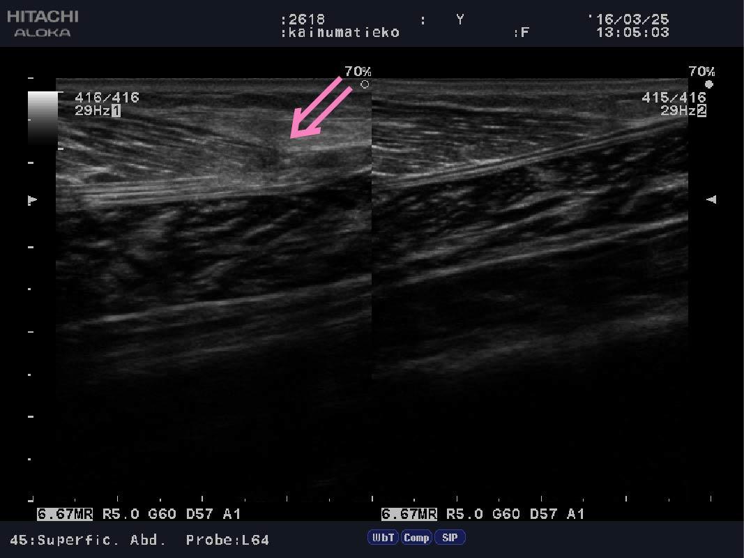
本日二枚の写真、両方とも「ふくらはぎの肉離れ」


1枚目は受傷後1ヶ月。

hukurahagi.jpg
ピンクの矢印部分、筋繊維の断裂部分が、
バッチリ写っとります。

受傷後から整形外科に通われていたのですが、
なかなか痛みが取れないと御来院。
画像で確認してみると、断裂部分もまだまだ、
血腫が大きく出ちゃってます。

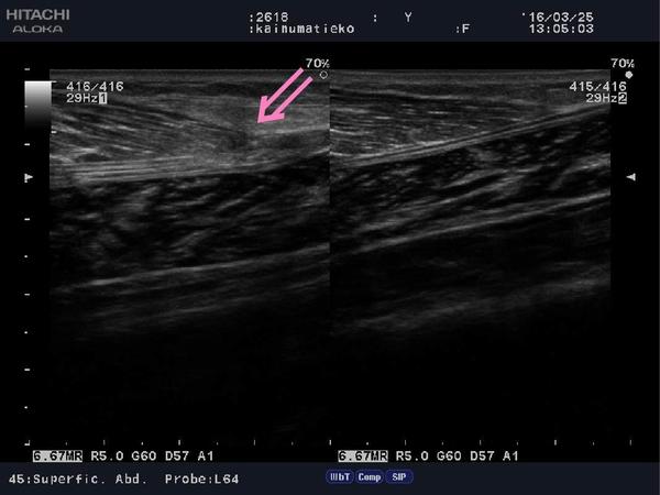
2枚目はピンクの矢印部分が損傷しております。

Calf muscle strain.jpg

こちらは受傷後からしっかり圧迫、処置ができたので、
血腫もほぼなく経過良好でございます。

「超音波画像観察装置」損傷部分の広さ・深さ・損傷程度が
しっかり確認でき、安心して治療をおこなうことができます。

お困りの方はぜひ、東伏見 まる接骨院をご利用ください。

ロゴ
まる接骨院