まる接骨院

西武新宿線東伏見駅1分
夜9時まで診療!

ウェブ予約

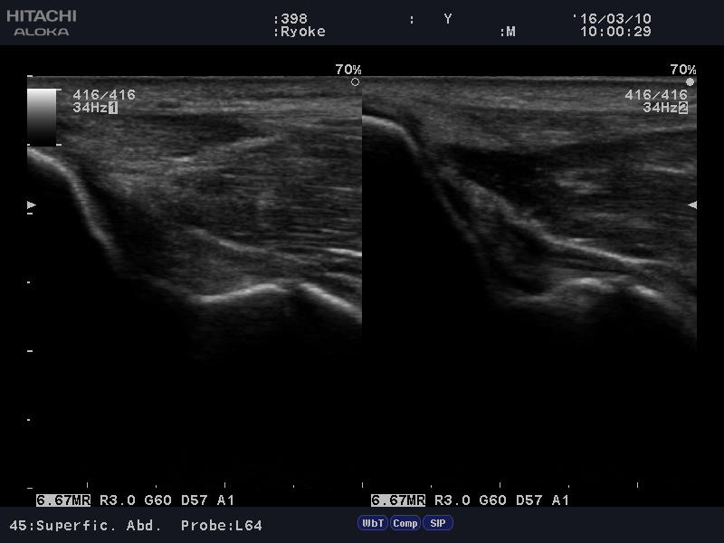
テニス肘(内側上顆炎)

2016.03.10

テニス肘(内側上顆炎)でお悩みの患者様、

午前の診療中に続きました。


テニス肘はバックハンドの連続で肘の外側上顆を痛めるタイプと、
フォアハンドで肘の内側上顆を痛めるタイプがあります。


発生機序はボールの衝撃によって、前腕の筋肉の付着部で、
炎症を起こし、痛みを発生させるという原理。

398_2016.03.10.jpg
「まる接骨院」では触診、視診、徒手検査後、
「超音波観察装置」で痛めてる場所、深さ、状態を確認し、
適格に治療を行って参ります。

maru treatmentscene2.jpg

お悩みの方は、お気軽にご相談ください。

ロゴ
まる接骨院